宋志刚课题组在《Frontiers in Nutrition》发表文章报道地衣芽孢杆菌DSM5749对蛋鸡生长性能和肠道微生态平衡的益生菌作用
2022年4月27日,我院宋志刚课题组在《Frontiers in Nutrition》(IF=6.576,中科院农林科学一区Top期刊)杂志上发表了题为“Probiotic effects of Bacillus licheniformis DSM5749 on growth performance and intestinal microecological balance of laying hens”的研究论文。该论文报道了饲料中添加地衣芽孢杆菌DSM5749对蛋鸡生长性能和肠道微生态平衡的益生菌作用。
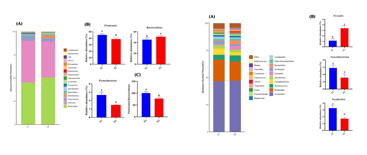
在“饲料禁抗,养殖减抗,产品无抗”的新时代,研究安全、环保、高效、无残留、无耐药性的绿色饲料添加剂成为畜牧业关注的焦点。地衣芽孢杆菌(Bacillus licheniformis,简称B. licheniformis)是一种兼氧型革兰氏阳性菌,易从土壤或植株中分离得到,因其耐高温、耐酸碱、抗逆性强、易贮存等特点被广泛作为致病菌竞争性抑制剂应用于畜禽养殖业中。然而,B. licheniformis DSM5749对蛋鸡生长性能和肠道健康的影响尚不明确。在本论文中,研究人员发现饲料中添加200 g/t的B. licheniformis DSM5749可提高蛋鸡产蛋率和平均日产蛋量,降低料蛋比,降低血清白细胞介素-1的含量,提高肝脏抗氧化酶活性,增强肠道脂肪酶活力,改善肠道形态和屏障功能;盲肠微生物组学分析表明,B. licheniformis DSM5749影响了蛋鸡盲肠微生物的组成,调节了肠道微生态平衡,其特点是有益细菌的比例更高,有害细菌的比例更低。试验结果证实了B. licheniformis DSM5749的促生长、抗氧化和抗炎特性,其改善蛋鸡生长性能的机制可能与调节肠道微生物有关。该研究表明地衣芽孢杆菌DSM5749可以作为抗生素的潜在替代品,提高蛋鸡的生长性能,维持肠道微生态平衡,进一步扩大蛋鸡益生菌的菌种资源,使B. licheniformis DSM5749成为应用于蛋鸡产业的良好益生菌候选菌。

宋志刚教授为本文的通讯作者,宋志刚课题组博士生潘雪为该论文的第一作者,博士生孔令联、肖传丕和朱启东参与了该项研究工作,该研究得到了山东省自然科学基金(ZR2020MC170)和山东省家禽产业技术体系(SDAIT-11-08)等项目的资助。
论文链接:https://www.frontiersin.org/articles/10.3389/fnut.2022.868093/full